近日,北京协和医院多学科配合,为一位颈根部异物合并多发伤患者成功取出异物,顺利完成手术,体现了协和作为“患者性命相托的最后一站”的责任和担当。

十月是秋收的季节。内蒙古赤峰市的农妇田某因平板车侧翻摔落沟中,一根竖起的枯枝从她的颈根部直穿而入,直刺到后背肩胛骨上,场面触目惊心。家属连忙把田某送往医院,但因为伤情太复杂,辗转多家医院均未得到处理。家属连夜驱车奔向北京协和医院。
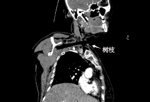
10月25日早晨,田某到达协和急诊科。此时,距离受伤已经过去了14个小时,她疼得说不出话来,血压已经飙升到231/99mmHg。经过医生检查发现,树枝插入的位置格外凶险,离右侧锁骨下动脉、右侧颈总静脉不到5毫米,暴露在体外的断端一直随着血管的搏动而轻轻摇晃。田某的右侧肩胛骨和肋骨还存在多发骨折,加剧了疼痛。
▲患者影像学资料
树枝紧贴血管如同“地雷”。颈部血管神经丰富,解剖结构复杂,时间越长,越容易导致功能受损和严重的深部感染。医务处立即组织骨科、耳鼻喉科、胸外科、血管外科、整形美容外科、基本外科急诊团队、麻醉科、重症医学科、感染内科等多学科会诊。专家们一致认为:必须马上手术。但树枝与颈根部大动脉、神经、锁骨、右肺等人体重要的结构距离极近,稍有不慎就可能出现重大损伤、大出血、瘫痪,甚至致命。
“我们来吧!”骨科高鹏主任医师主动请缨。完整诊疗方案也随之确定:急行颈根部异物取出术,骨科主刀,血管外科和胸外科协助,整形美容外科负责创面清创和缝合,感染内科负责感染预防用药指导。
经过充分备血和术前准备,田某被推入手术室。“田某颈根部有树枝,头颈部活动受限,给麻醉带来了不少的挑战。我们插管时要避开异物,也要尽量减少损伤,因此采取了纤维支气管镜引导下的清醒气管插管。”麻醉科龚亚红、朱阿芳、马满姣医师团队经验丰富,临危不乱,一次尝试就插管成功。
骨科高鹏、徐溢明与血管外科邵江一起上台。经过详细辨认和植物学对照,手术团队在术前已确认枯枝为槐树枝,没有倒刺。考虑到患者家庭的经济条件,团队决定先为患者试着拔出异物。高鹏在田某的创口外侧做了一个横行的小切口,探入一根手指,直观又仔细地再度探查田某体内的树枝:树皮粗粝,表面没有倒刺,没有显著突起和分叉,没有活动性出血,但树枝扎得很深,不能轻易拔出。
生死一线之间,容不得半分意外。手术团队灵机一动,用无菌输液器在手术台上自制了一个细冲洗管。高鹏将冲洗管顺着异物进入的方向小心推到底,然后一边回撤,一边轻轻推注奥布卡因凝胶进行局部麻醉和润滑止痛。凝胶在田某体内形成了一道物理屏障。等到田某局部肌肉充分松弛后,高鹏找到一个最佳角度,沉稳而轻柔地将树枝拔出。
手术成功了!手术室里的医护人员不约而同地长出一口气,此时他们身上的手术服已经湿透。邵江继续探查,发现田某颈根部的血管和胸膜腔没有明显损伤,但创面残留树皮、沙粒等异物。他仔细地冲洗、清洁了创面。整形美容外科张明子医师将田某体表创口周缘的失活组织小心剪除,然后逐层缝合切口,并在创面内放置负压引流管。手术顺利完成,拔出来的树枝足有20厘米长。
因为处理及时,清创彻底,田某的生命体征平稳、颈部引流不多、未出现创面感染,后续转回当地医院继续治疗,日前已痊愈出院。
手术刀也许是冰冷的,握手术刀的手却一直炽热。在灯火通明的手术室,在一次次的生命守卫战中,北京协和医院多部门高效沟通、紧密协作,用温度和速度,承载起患者的信任和托付。
文字/干玎竹 徐溢明
图片/骨科提供
编辑/干玎竹